Dossiers Cliniques de 3C Technique
Dr Zhu Weimin
Dossier clinique 1 : Algodystrophie
Femme, 64 ans, femme au foyer. Fracture de la malléole externe gauche, opérée avec ostéosynthèse par plaque vissée il y a plus de trois mois. Antécédents d'hypertension. Douleur persistante à l'articulation de la cheville gauche, à tout le pied et à la jambe, aggravée à la marche, avec parfois des sensations de décharges électriques. Elle est venue accompagnée de son fils, marchant avec des béquilles, incapable de se déplacer sans elles. Son chirurgien a diagnostiqué une algodystrophie, pour lequel la médecine moderne n'offre pas de traitement efficace ; seule une kinésithérapie est proposée en attendant une guérison spontanée. La durée du syndrome est estimée entre 6 et 24 mois, mais certains patients ne récupèrent pas avant plus de trois ans.
Examen clinique :
Cicatrice chirurgicale visible sur la malléole externe gauche. Rougeur et léger œdème du pied, de la cheville et de la jambe gauche (Fig.46), avec une température locale plus élevée par rapport au côté sain, et une sensibilité douloureuse à la pression.
Examens complémentaires :
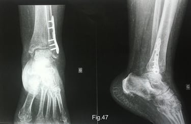
La radiographie montre que la fracture de la malléole externe est consolidée. Cependant, des signes d'ostéoporose pommelée (trabéculaire en forme de bulles) sont visibles dans le pied, c’est un signe typique de l’algodystrophie (Fig.47). Son chirurgien lui a prescrit une scintigraphie osseuse, avec un rendez-vous prévu dans dix jours. La scintigraphie osseuse permettra de confirmer le diagnostic d’algodystrophie.
Il convient de noter que l’algodystrophie est une complication post traumatique grave qui peut entraîner une incapacité de travail pendant une période de 6 à 24 mois, voire plus. La médecine moderne ne propose pas de traitement efficace pour cette maladie. Cependant, en cas de détection précoce, l'acupuncture s'avère très efficace, et plus le traitement est commencé tôt, meilleurs sont les résultats. Pour les patients au stade moyen ou avancé, seule l'acupuncture avec des aiguilles chauffées peut apporter un certain soulagement. Par conséquent, lorsqu'on rencontre de tels patients, il ne faut pas attendre les résultats de leurs examens, mais commencer le traitement par acupuncture dès que possible. Il est important d'expliquer aux patients que le traitement précoce est très efficace et qu'une seule séance d'acupuncture peut parfois suffire à guérir et à stopper la progression de la maladie. Le résultat d’examen ultérieur pourra même revenir à la normale en raison du traitement par acupuncture.
Diagnostic :
Algodystrophie du membre inférieur gauche
Traitement :
En utilisant la technique 3C, une acupuncture a été réalisée sur le membre supérieur droit. Après la pose de l'aiguille, la douleur a considérablement diminué et la patiente a pu marcher sans béquilles, sans boiterie. Après avoir laissé les aiguilles en place pendant 20 minutes, le gonflement de la jambe gauche avait disparu et la couleur de la peau était redevenue normale. La patiente et son fils étaient tous deux étonnés.
La patiente a été demandé à revenir pour un contrôle dans deux semaines avec les résultats de l'examen scintigraphique.
Deux semaines plus tard, lors de la visite de contrôle, la patiente se déplaçait sans béquilles, avec seulement une légère boiterie. Il ressentait une légère douleur autour de la cheville et une sensation de tension intérieure, la peau du membre inférieur gauche étant légèrement rouge et légèrement enflée.
Résultat de l'examen scintigraphique : Algodystrophie du membre inférieur gauche, en phase inflammatoire.
Traitement :
Comme lors de la précédente séance, une acupuncture a été réalisée au poignet droit. Après dix minutes, une amélioration a été constatée, la douleur se limitant uniquement au dos du cinquième métatarsien. Une autre aiguille a été placée au dos du cinquième métacarpien de la main droite ; après avoir laissé l'aiguille en place pendant 20 minutes, la couleur de la peau est redevenue normale et la douleur au pied a complètement disparu.
Deux semaines plus tard, en raison d'une forte chute de neige, la patiente n'a pas pu se rendre à la consultation faute de moyens de transport. Cinq mois plus tard, sa fille est venue consulter et a indiqué que la jambe de sa mère était guérie et qu'elle ne ressentait plus de douleur.






Cas clinique 5 : Traque et poursuite de la douleur
Homme de 46 ans, présentant une hernie discale cervicale, avec douleur au niveau du cou et du bras droit. Une IRM réalisée il y a 5 ans a confirmé la présence d'une hernie discale cervicale, avec des symptômes fluctuant dans le temps, s'aggravant au cours des deux dernières semaines.
Examen clinique :
Douleur à la pression au niveau de C4-5 à droite, diminution de la sensibilité cutanée dans le membre supérieur droit, et réflexe du triceps affaibli.
Traitement :
Le traitement a débuté par une manipulation cervicale, une méthode de réduction progressive de la hernie discale, sans claquement ni douleur, développée par le Dr Zhu Weimin. Environ 15 minutes après la manipulation, la douleur au niveau du cou a disparu, mais une douleur persistait sur la partie externe du bras droit (Fig.52-1). Trois aiguilles ont été insérées dans la partie externe de la cuisse gauche selon la méthode 3C (Fig.53-1), juste après les 3 aiguilles la douleur a déplacé au niveau de la partie externe du coude (Fig.52-2). Une nouvelle aiguille a été insérée sur la partie externe du genou gauche selon la méthode 3C (Fig.53-2), ce qui a provoqué un déplacement de la douleur vers la partie centrale de l'avant-bras droit, côté dorsal (Fig.52-3). Une autre aiguille a été insérée au milieu de la partie antérieure de la jambe gauche (Fig.53-3), la douleur s'est ensuite déplacée vers la main, au niveau de la face ulnaire du cinquième métacarpien, tout en se déplaçant également vers l'avant du coude (Fig.52-4). Après insertion d'une aiguille sur la face externe du cinquième métatarsien gauche, la douleur à la main a disparu. Une dernière aiguille a été insérée à l'arrière de la jambe gauche (Fig.53-4), éliminant complètement la douleur au niveau de la partie antérieure du coude droit. Cette traque et poursuite de la douleur a été longue, mais elle a finalement été couronnée de succès. Un suivi sur trois ans n'a révélé aucune récidive.


Cas clinique 6 : Douleur à la première articulation carpo-métacarpienne
Femme de 63 ans, souffrant de douleur à la première articulation carpo-métacarpienne de la main droite depuis 3 mois (rhizarthrose). Elle présente des douleurs lombaires depuis 10 ans, avec des périodes d'amélioration et de rechute. Elle a des antécédents de polyarthrite rhumatoïde, avec des améliorations après plusieurs traitements, et n'est pas revenue à la consultation depuis un an. Concernant la douleur à la main, aucun examen radiographique n'a été réalisé.
Examen clinique :
Douleur à la palpation au niveau de L5-S1, sans anomalies détectées dans les membres inférieurs. Douleur à la palpation des 2 côtés des T1 à T4, douleur marquée sur le dos de la première articulation carpo-métacarpienne de la main droite (Fig.54-1), sans déformation évidente.
Diagnostic :
Rhizarthrose droite, polyarthrite rhumatoïde.
Traitement :
Bien que la patiente n'ait pas mentionné de douleur dorsale, l'examen clinique a révélé une douleur à la palpation des côtés des vertèbres T1 à T4. Selon les principes de la technique 3C, cette zone correspond à la région associée à la douleur lombaire, où 80 % des patients présentent une douleur à la palpation. Par conséquent, le traitement peut cibler cette zone par massage ou acupuncture. Après une minute de massage, la douleur lombaire a disparu.
En suivant la technique 3C, une aiguille a été insérée horizontalement sur le dos de la première articulation tarsométatarsienne gauche (Fig.55). La douleur sur le côté dorsal de la première articulation carpo-métacarpienne droite a immédiatement disparu, mais une nouvelle douleur a commencé à apparaître au niveau du styloïde du radius droit (Fig.54-2), précisément à l'endroit où se développe souvent une ténosynovite de Quervain. Selon la technique 3C, une aiguille a été insérée sous la malléole externe gauche (Fig.56-a), mais cela n'a pas amélioré la douleur. Une seconde aiguille a été insérée à l'arrière (Fig.56-b), sans amélioration non plus, puis une troisième à l'avant (Fig.56-c), toujours sans effet. Théoriquement, la zone correspondant au styloïde radial devrait être le point le plus saillant de la malléole externe (Fig.56-d). Cependant, en raison de l'absence apparente de tissu mou dans cette zone, juste sous la peau se trouve l'os, ce point n'avait pas été choisi initialement. Comme la douleur persistait, ce point a finalement été testé. La peau au niveau du point le plus saillant de la malléole externe a été pincée entre l'index et le pouce, puis une aiguille a été insérée horizontalement, ce qui a immédiatement fait disparaître la douleur au niveau du styloïde radial. Il semble que le point "d" soit le véritable point correspondant. La technique 3C doit être suivie rigoureusement selon les principes établis, sans tenir compte des méridiens, des points
d'acupuncture ou des tissus mous.






Cas clinique 13 : Entorse du poignet (massage)
Un garçon de 14 ans s'est blessé au poignet gauche il y a deux semaines en soulevant un téléviseur lourd. La douleur se situe au niveau de l'apophyse styloïde de l'ulna, à l'endroit où il a subi une intervention chirurgicale un an auparavant. Il avait alors une fracture du radius distal avec une fracture du styloïde de l'ulna, qui a été réduite orthopédique et ostéosynthésée par broches de Kirschner. Après ablation des broches, tout s'était bien passé et il n'avait plus de problèmes (Fig.72). Cependant, il s'est à nouveau blessé à cet endroit il y a deux semaines.
Examen :
Douleur à la palpation sous styloïde de l'ulna gauche (Fig.73 Douleur 1).
Radiographie :
La radiographie n'a révélé aucune anomalie, mais la douleur persiste à cet endroit. En utilisant la technique des 3C (Fig.32), nous avons effectué un massage juste en dessous de la malléole interne (Fig.73, Massage 1). Après une minute de massage, la douleur au niveau du styloïde de l'ulna a disparu, mais elle s'est déplacée vers la région supérieure du col de l'ulna (Fig.73 Douleur 2). Nous avons alors massé la zone située au-dessus et derrière la malléole interne (Fig.73 Massage 2). Une minute plus tard, la douleur avait complètement disparu. La mère du garçon a trouvé cela incroyable et a exprimé son intérêt pour en savoir plus. Je lui ai donné l'adresse du site web de notre association et l'ai informée de nos formations.




Cas clinique 17 : Douleur au talon
Patient, 64 ans. Douleur au talon droit depuis un an, aggravée depuis 4 mois. Plusieurs consultations médicales n'ont pas apporté de soulagement ; ni les anti-inflammatoires ni les analgésiques n'ont été efficaces. Il doit marcher avec une canne.
Examen clinique :
L'apparence des deux talons est normale. Douleur marquée à la palpation de la base du talon droit (Fig.80).
La radiographie ne montre aucune anomalie.
Diagnostic :
Douleur au talon droit d'origine indéterminée.
Traitement :
Pour traiter la douleur au talon, selon la Fig.31, les points d'acupuncture de la main gauche sont également les points d’acupuncture de Dong (Fig. 81). Ils sont identiques à ceux utilisés dans la technique 3C. La différence est que, selon la technique 3C, vous pouvez utiliser une ou deux aiguilles, avec un effet similaire.
Après 20 minutes, la douleur a diminué de 60%. Ensuite, le point "Wu Hu" (un point d'acupuncture de Dong situé sur le dos du pouce) a été stimulé, ce qui a réduit la douleur de 20% supplémentaires. Le patient a pu quitter le Cabinet sans utiliser sa canne.
Je lui ai expliqué que s'il ressentait à nouveau de la douleur, il devait me contacter. Mais il n'a jamais appelé. Lors d'un suivi téléphonique un an plus tard, il a rapporté qu'après être rentré chez lui, il avait ressenti une légère douleur pendant cinq jours, mais qu'elle avait complètement disparu au matin du sixième jour.
Discussion :
Des cas similaires sont fréquents. Parfois, après une séance d'acupuncture, la guérison complète ne se fait pas immédiatement, mais au cours des heures ou des jours suivants, le patient récupère complètement. Cela montre que l'acupuncture active le système de réparation interne du corps, le mettant en action pour traiter la cause profonde de la maladie. Bien qu'une seule séance d'acupuncture ait été effectuée, le processus de guérison continue grâce aux capacités de régénération du corps. Quelle méthode naturelle étonnante !




Cas clinique 22 : Douleur à l'épaule
Patient, 41 ans. Douleur à l'épaule droite depuis 6 mois. Divers traitements ont été inefficaces. La douleur est persistante et s'aggrave la nuit et lors des mouvements.
Examen clinique :
Amplitude de mouvement de l'épaule droite limitée : Abduction à 110°, antépulsion à 150°. Douleur à la pression sur les parties antérieure et postérieure de l'épaule. Test de la coiffe des rotateurs négatif.
La radiographie ne montre aucune anomalie (Fig.92).
Diagnostic :
Douleur à l'épaule droite d'étiologie inconnue.
Traitement :
On a choisi le point de l'épaule selon la technique de Wang sur le membre inférieur gauche (Fig.93) pour le traitement par acupuncture. Après l'insertion de l'aiguille, la douleur a immédiatement diminué. En combinant avec des mouvements de l’épaule, l'aiguille a été laissée en place pendant 10 minutes. L'amplitude de mouvement de l'épaule est revenue à la normale, bien qu'il ressente encore une légère douleur. Selon la technique 3C, il est possible de sélectionner des points d'acupuncture au niveau de la hanche, on a cherché un point douloureux ou sensible mais on n’a pas trouvé. Dans ce cas à cause de la grande surface de cette région, il est difficile de localiser précisément les points. Par conséquent, nous avons choisi des points au niveau de la cheville du côté sain (Fig.94) pour le traitement ; C’est l’attaque en tenaille latérale. L'aiguille a été laissée en place pendant 20 minutes. Après le retrait de l'aiguille, la douleur a complètement disparu ; l'amplitude de mouvement de l'épaule était complète, avec abduction et antépulsion à 180° (Fig.95). Le patient, quelque peu incrédule, a demandé : "Est-ce que ma douleur pourrait être due à un problème psychologique ?"
J'ai répondu : "Si c'était un problème psychologique, il devrait être traité par des méthodes psychologiques, n'est-ce pas ? Comment l'acupuncture pourrait-elle le guérir ?"
Il a dit : "C'est incroyable !"
Suivi : Un an plus tard, il n'y a eu aucune récidive.
Remarque :
Si la première aiguille au niveau de la cheville est inefficace, on peut également utiliser, ou ensuite utiliser, les points au niveau de la hanche jusqu'à ce que la douleur disparaisse complètement. C’est également ce qu'on appelle l’attaque en tenaille latérale.








Cas clinique 18 : Séquelles de fracture du scaphoïde carpien
Homme, 25 ans. Fracture du scaphoïde carpien droit depuis un an, douleur persistante affectant gravement son travail. Divers traitements ont été inefficaces.
Examen clinique :
Peau du poignet droit normale ; douleur à la palpation au niveau de la tabatière anatomique.
Le scanner montre que la fracture est consolidée (Fig.82).
Diagnostic :
Séquelles de fracture du scaphoïde carpien droit.
Traitement :
En suivant la technique 3C (Fig.30), on a localisé la zone correspondante au scaphoïde du pied gauche. Trois aiguilles ont été insérées autour de cette zone (Fig.83), ce qui a immédiatement atténué la douleur ; cependant, 10 minutes plus tard, la douleur persistait. Trois autres aiguilles ont été ajoutées près de l'articulation de la cheville (Fig.84) ; 10 minutes plus tard, la douleur au scaphoïde carpien avait disparu, mais une douleur était apparue au niveau du poignet. Lorsque le patient étendait son poignet et exerçait une pression, il ressentait une douleur au dos et à la paume du poignet.
Deux aiguilles ont été insérées autour des malléoles interne et externe de la cheville gauche, ce qui a réduit la douleur, mais pas complètement.
Deux semaines plus tard, il restait une légère douleur au niveau du poignet. Le même traitement a été répété, et la douleur a complètement disparu.
Visite trois ans plus tard, il n'a révélé aucune récidive.











